Seleziona una pagina
Metallo – ceramica 2 📍

Metallo – ceramica 2 📍

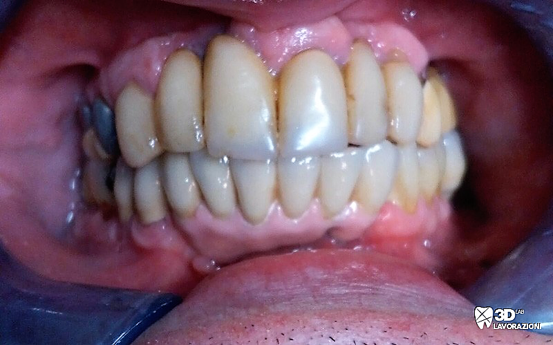
Nel seguente caso ci viene chiesto di realizzare un ponte inferiore su moncone implantare e due monconi naturali.  Abbiamo progettato la struttura al cad e realizzata in cr-co slm stabilizzato. Nel lavoro finito si può notare che abbiamo riprodotto la mucosa gengivale...
Metallo – ceramica 📍

Metallo – ceramica 📍

Nella seguente lavorazione abbiamo progettato una struttura in cad da realizzare in laser sintering stabilizzato. Dopo la prova del metallo, l’abbiamo rivestita in ceramica e il medico ha provveduto ad installarla. Richiedi informazioni, ti ricontatteremo a...
WhatsApp chat