Benvenuti sul nostro BLOG
NOVITA’, EVENTI, LAVORAZIONI, TESTIMONIANZE, TUTTE LE NEWS DAL MONDO ODONTOTECNICO

Fatturazione elettronica 📨
L’obbligo di emettere fatture in formato elettronico tra privati scatterà dal primo gennaio 2019 e non sono …..
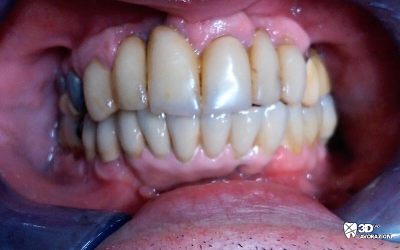
Protesi in nylon 📍
Nella seguente lavorazione il paziente aveva necessità di mantenere l’estetica anche dopo le estrazioni, …
Buone Vacanze da 3DLab 🏖️
Estate 2018 – Il laboratorio 3DLab comunica il periodo di chiusura estiva 2018 da Sabato 11 Agosto …
Protesi rimovibile flessibile in Nylon 📍
Galleria di lavori realizzati in nylon, materiale biocompatibile, semitrasparente e flessibile. …
Metallo – ceramica 2 📍
Nel seguente caso ci viene chiesto di realizzare un ponte inferiore su moncone implantare e due …
Metallo – ceramica 📍
Nella seguente lavorazione abbiamo progettato una struttura in cad da realizzare in laser sintering …
Reverse price 🔁
In un mercato dentale sempre più frammentato,e non omogeneo, abbiamo cercato nuove strade …
Buon Anno 2018 🥂🍾
Da tutto lo staff di 3D LAB i nostri migliori auguri di buon anno. Che l’anno futuro sia davvero speciale!
Benvenuto in 3DLab 👈
Benvenuto sul sito web di 3DLab, il laboratorio odontotecnico al passo con la tecnologia. 3dLab …








